2月15日,除夕前夜,正当千家万户沉浸在团圆喜庆之中,鄂州城南医院上演了一场争分夺秒的生命大救援。心血管内科、急诊科、重症医学科、手术麻醉科凝心聚力、通力协作,成功救治一名高龄超高危急性心肌梗死患者,用坚守与责任筑牢百姓健康防线,用医者仁心诠释了节日里最动人的担当。
患者张某,80余岁,因“间断胸痛1月余,再发加重3小时余”紧急入院。急诊科接诊后迅速完善心电图、心肌损伤标志物等相关检查,心内科专科医生急会诊后确诊为急性下壁ST段抬高型心肌梗死。患者在转运至导管室途中突发心室颤动,伴意识丧失,立即予以电除颤和心肺复苏后患者意识恢复,心电监护提示恢复窦性心律。
“时间就是心肌,时间就是生命!”警报拉响,病情就是命令。在卫庆文院长牵头下,按照胸痛中心救治流程,一键启动导管室,绕行普通病房,直接将病人送入导管室,拟行急诊冠脉造影,必要时予以急诊冠脉PCI术。各环节高效衔接,为抢救生命全力冲刺。



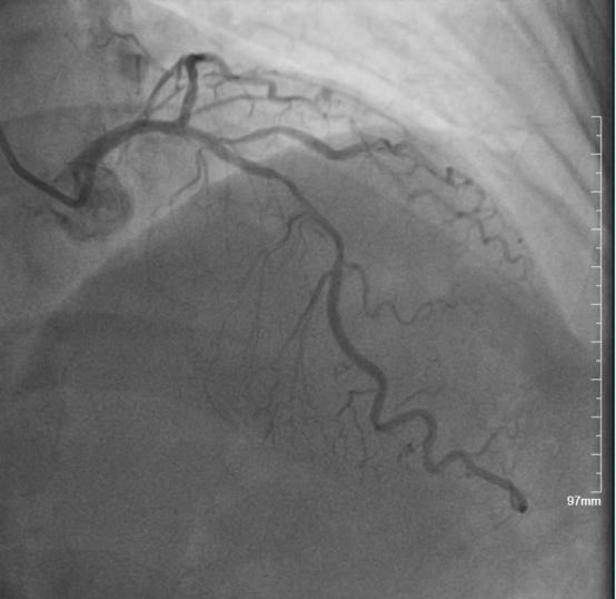
◆冠脉三支严重病变,其中右冠状动脉急性闭塞,为本次发病罪犯血管
当导丝和球囊迅速通过右冠状动脉闭塞段后,前向血流恢复至TIMI3级,患者胸痛症状当即明显缓解。正值紧绷的神经稍休片刻之际,一波未平,一波又起,心电监护提示严重电风暴伴心室颤动,随后出现无自主心律,患者突发心脏骤停伴意识丧失,颈动脉搏动消失。

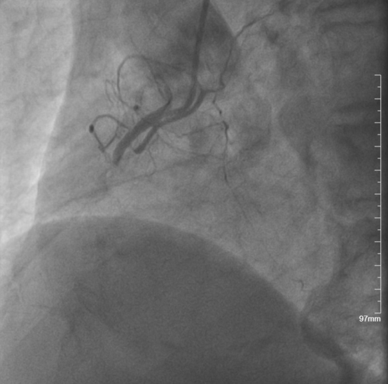
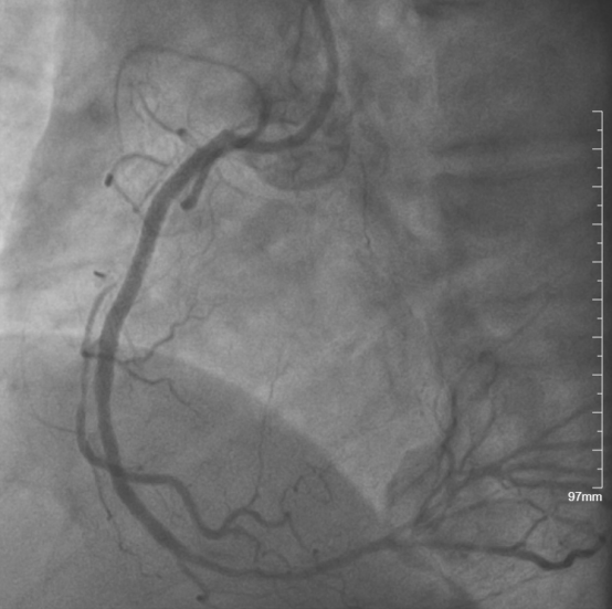
◆成功开通右冠状动脉急性闭塞病变
在多学科通力协助下,经过采取反复电除颤10多次、心肺复苏和气管插管等一系列急救措施,持续1小时与死神生命拉锯争夺战后,患者逐步恢复自主心律及自主呼吸,一场惊心动魄的生命救援圆满落幕。
术后,经过医护团队的专业救治和精心护理,患者病情逐渐好转,于3月6日康复出院,出院之际,心血管内科为患者送上鲜花与真诚祝福。


家属随后也为心血管内科送上锦旗表示诚挚感谢,家属们紧握医护人员的手,言语哽咽:“这个春节,是你们让我们一家还能团圆。”

除夕夜的这场生命竞速,不仅是一个家庭的幸运,更是鄂州城南医院医疗综合实力的生动彰显,充分展示了医护团队过硬的专业素养、快速的应急处置能力和高效的协同作战能力。
2026年1月,为促进心血管内科学科建设与发展,进一步优化学科布局,深化专科建设,提升心血管疾病的诊疗水平和服务能力,鄂州城南医院内一科正式分设为心血管内科和心血管重症监护室,标志着医院在心血管疾病救治领域迈上了规范化、体系化的新台阶。

心血管内科整合急诊科、重症医学科、医学影像科、手术麻醉科等多学科力量,构建起协同救治网络。从院前急救到院内抢救,从基层转诊到专家会诊,每一个环节都实现了信息共享、快速响应、无缝衔接。正是这套全天候待命、全年无休的救治体系,让“时间就是生命”的抢救速度成为可能。
未来,鄂州城南医院将继续以“优化医疗服务永远在路上”的姿态,坚持以“人民至上,生命至上”为医院核心服务内涵,为患者的健康保驾护航。
